
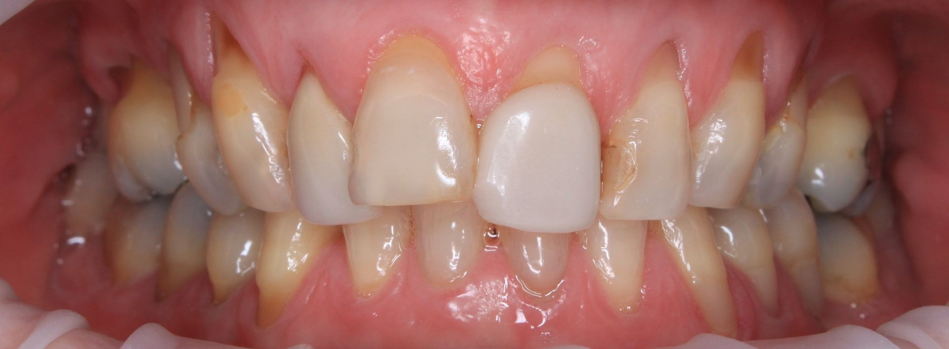
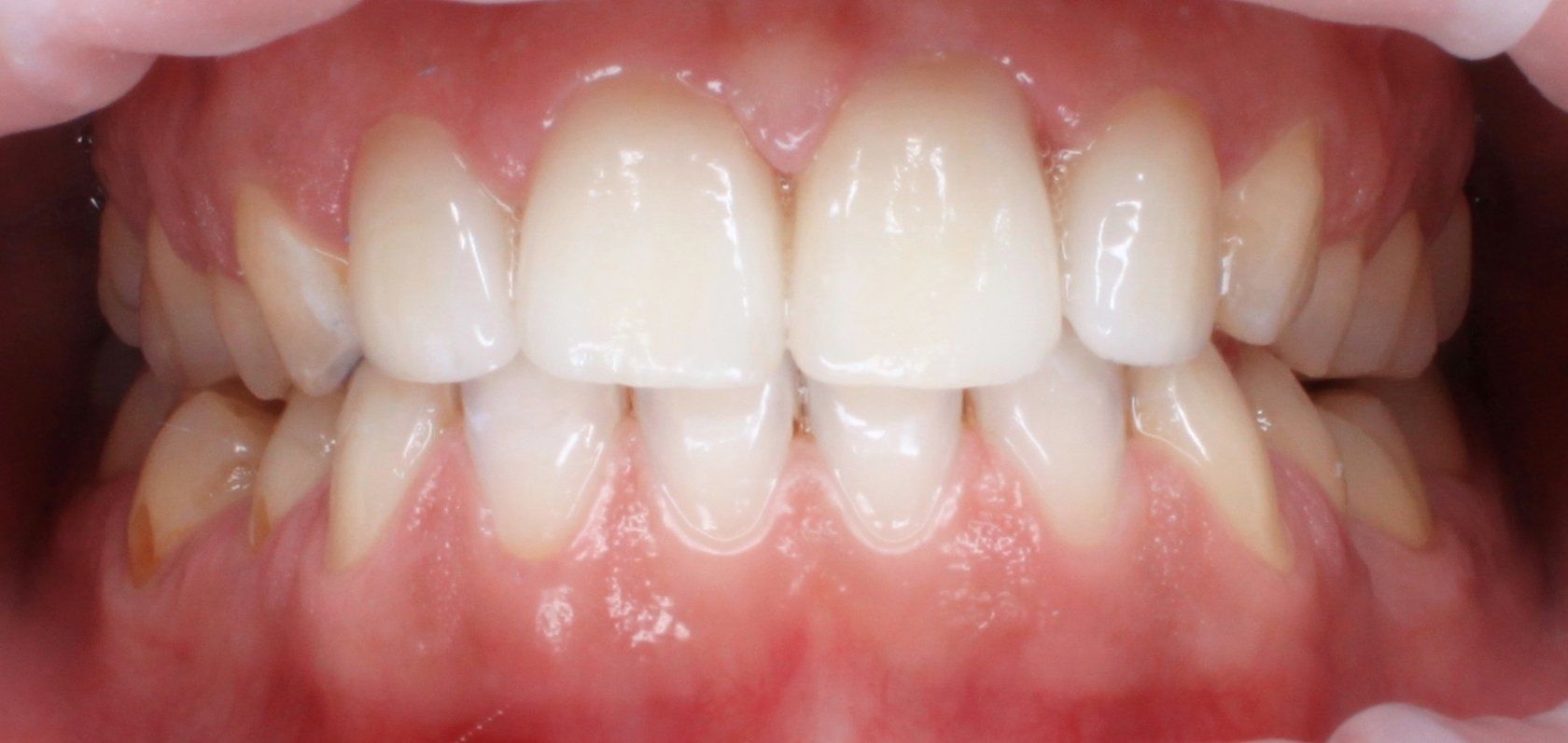
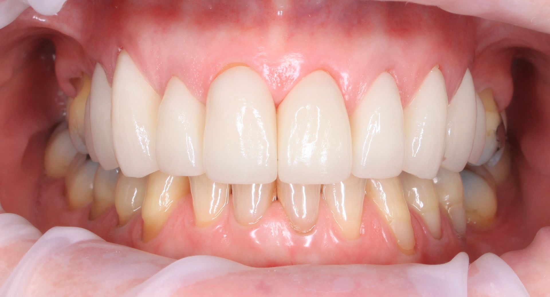
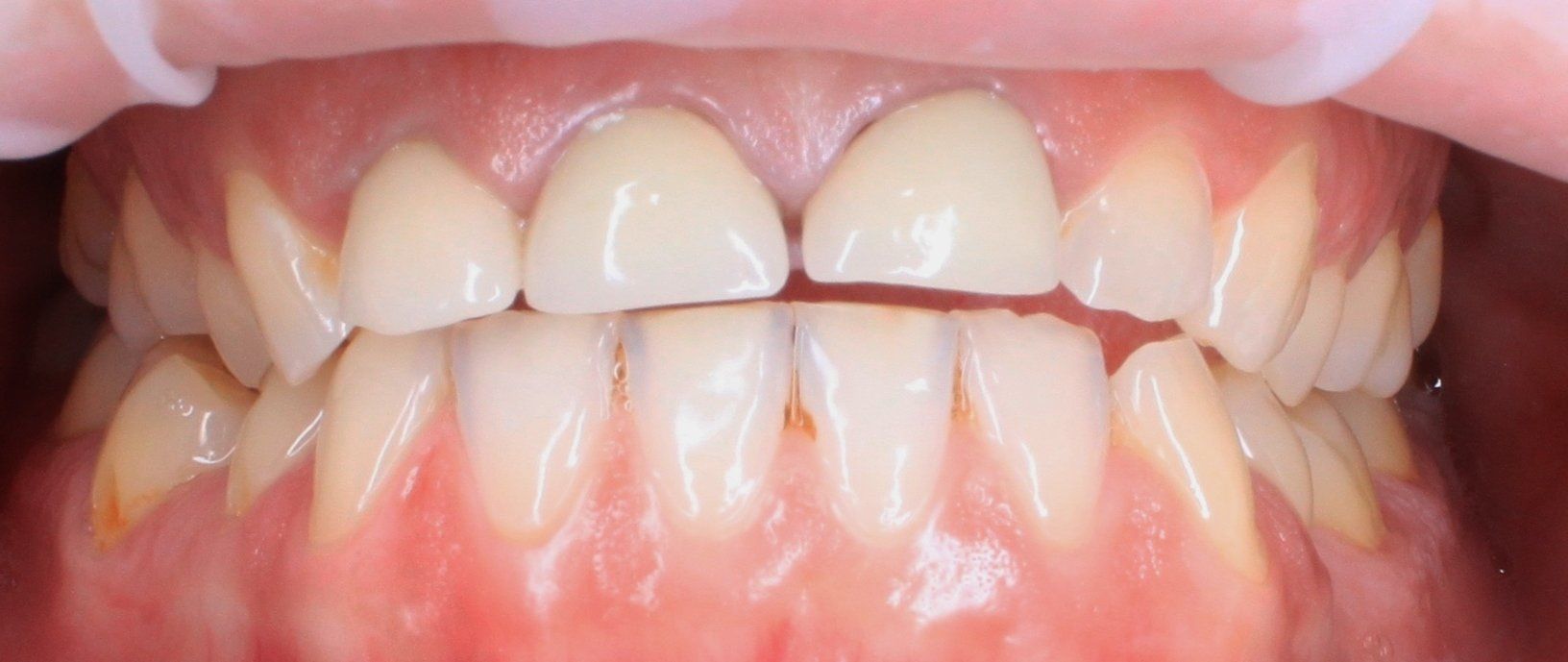
Port Smile Dental Gallery
Smile Makeover
Teeth Whitening
Same Day Solutions
Our photos are for illustrative purposes only. Individual results vary and depend on careful planning and assessment using our modern digital planning techniques.
Any surgical and dental treatment carry risks and may not be beneficial or suitable to everyone. Call our team and arrange a consultation to find out how we can tailor a plan specific to your dental needs.
All images appearing on this site are the property of Port Smiles Dental. They are not to be downloaded or reproduced in any way without the written permission from Port Smiles Dental. Copyright 2016. Port Smiles Dental. All Rights Reserved.









